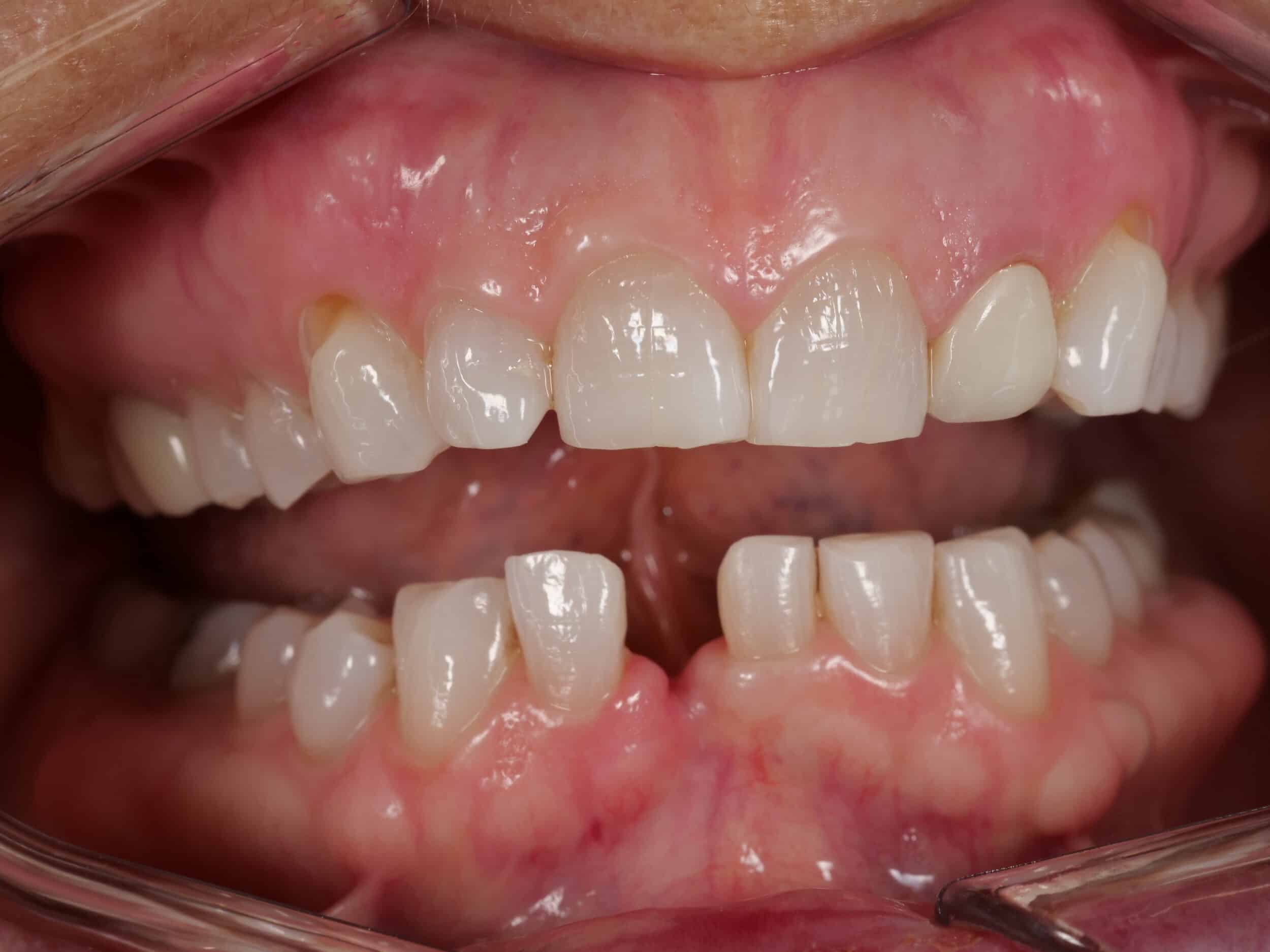
Maryland Bridge Case ID: 3183 Before and After Images Before After Maryland BridgeView More Images → Maryland BridgeView Case